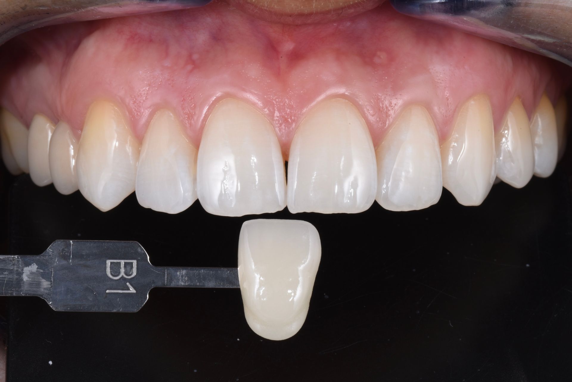
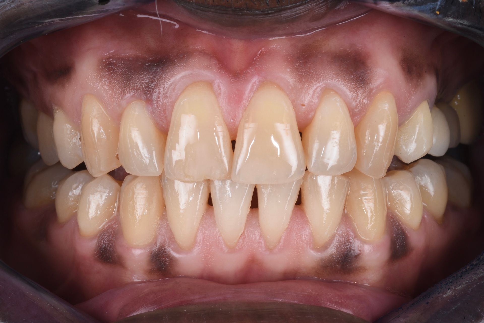
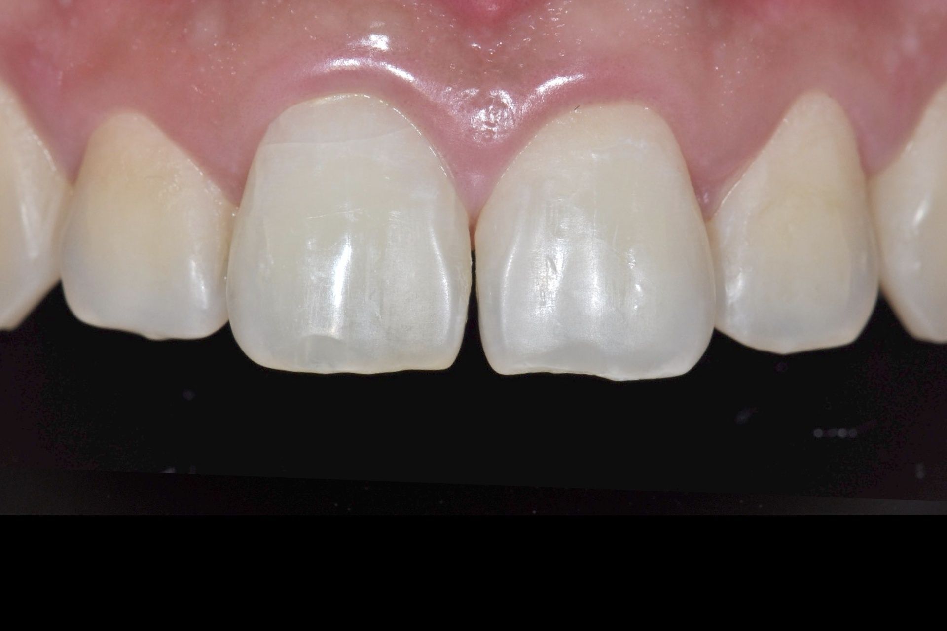
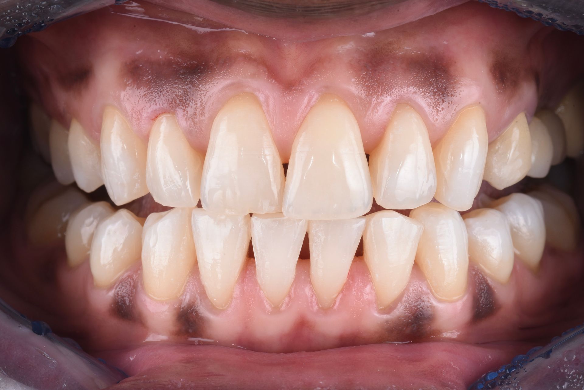
CASE 1
Blanchiment dentaire à domicile (NightWhite)
Ce patient souhaitait éclaircir la teinte de ses dents de manière sûre grâce à un protocole professionnel de blanchiment à domicile.
Nous avons utilisé le Philips Zoom NiteWhite 10% Teeth Whitening Kit, sous supervision dentaire. Il s’agit d’un système de blanchiment à domicile reconnu, à base de peroxyde de carbamide.
Des gouttières personnalisées ont été fabriquées en matériau thermoplastique EVA de 1 mm (copolymère vinyle-acétate souple et biocompatible), thermoformé sous vide sur un modèle 3D précis des arcades dentaires du patient. Ce procédé garantit un ajustement optimal et une répartition homogène du gel.
Le gel blanchissant contient du peroxyde de carbamide, qui se décompose lentement en peroxyde d’hydrogène et en urée. Le peroxyde d’hydrogène libère des radicaux oxygénés qui pénètrent l’émail et la dentine afin de fragmenter les molécules responsables des colorations, permettant un éclaircissement progressif et naturel.
Dans ce cas, le patient a porté les gouttières pendant la nuit (minimum environ 6 heures par nuit) selon un protocole personnalisé défini lors de la consultation, pendant 2 à 3 semaines pour un résultat optimal.
Comme pour tout blanchiment à base de peroxydes, une sensibilité dentaire temporaire ou une légère irritation gingivale peuvent survenir, mais disparaissent généralement rapidement après la fin du traitement. Un suivi régulier garantit confort et sécurité.

