CASE 3
Blanchiment sélectif d’une dent
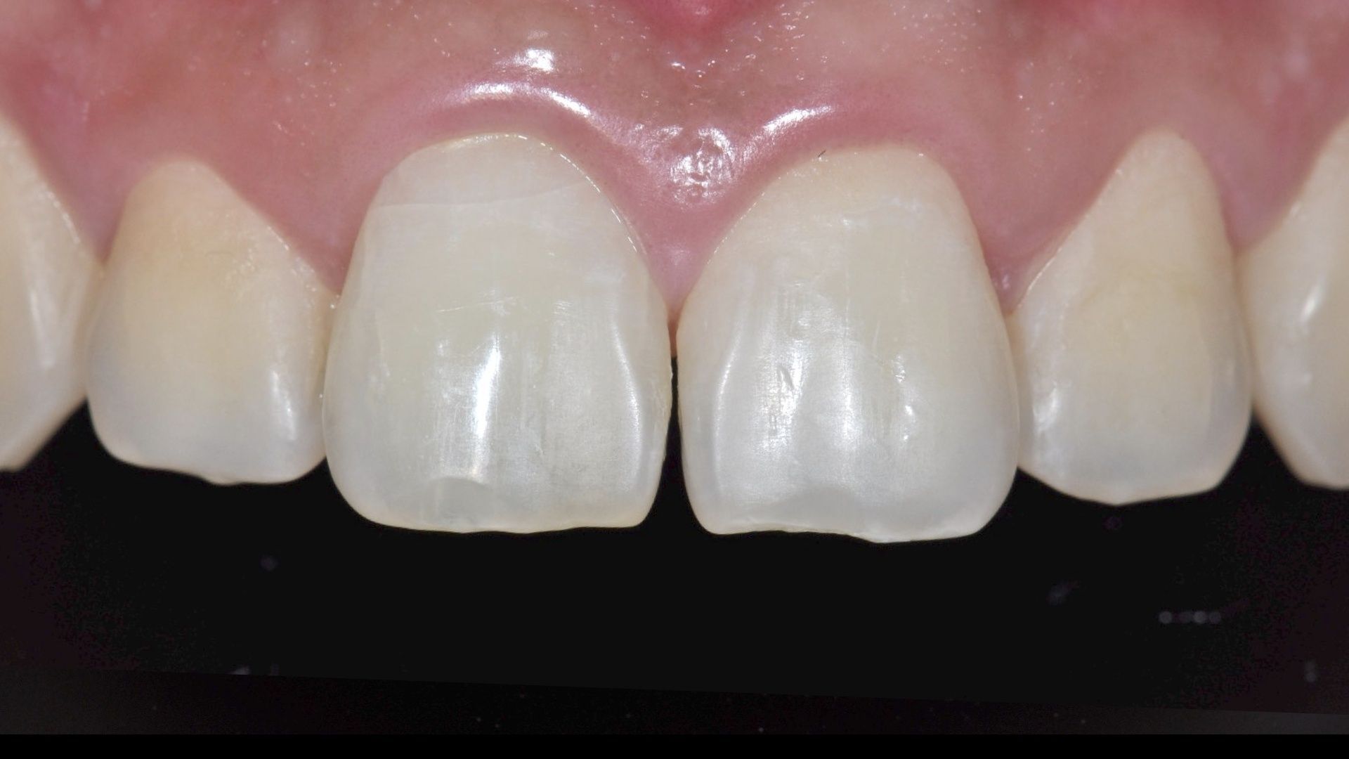
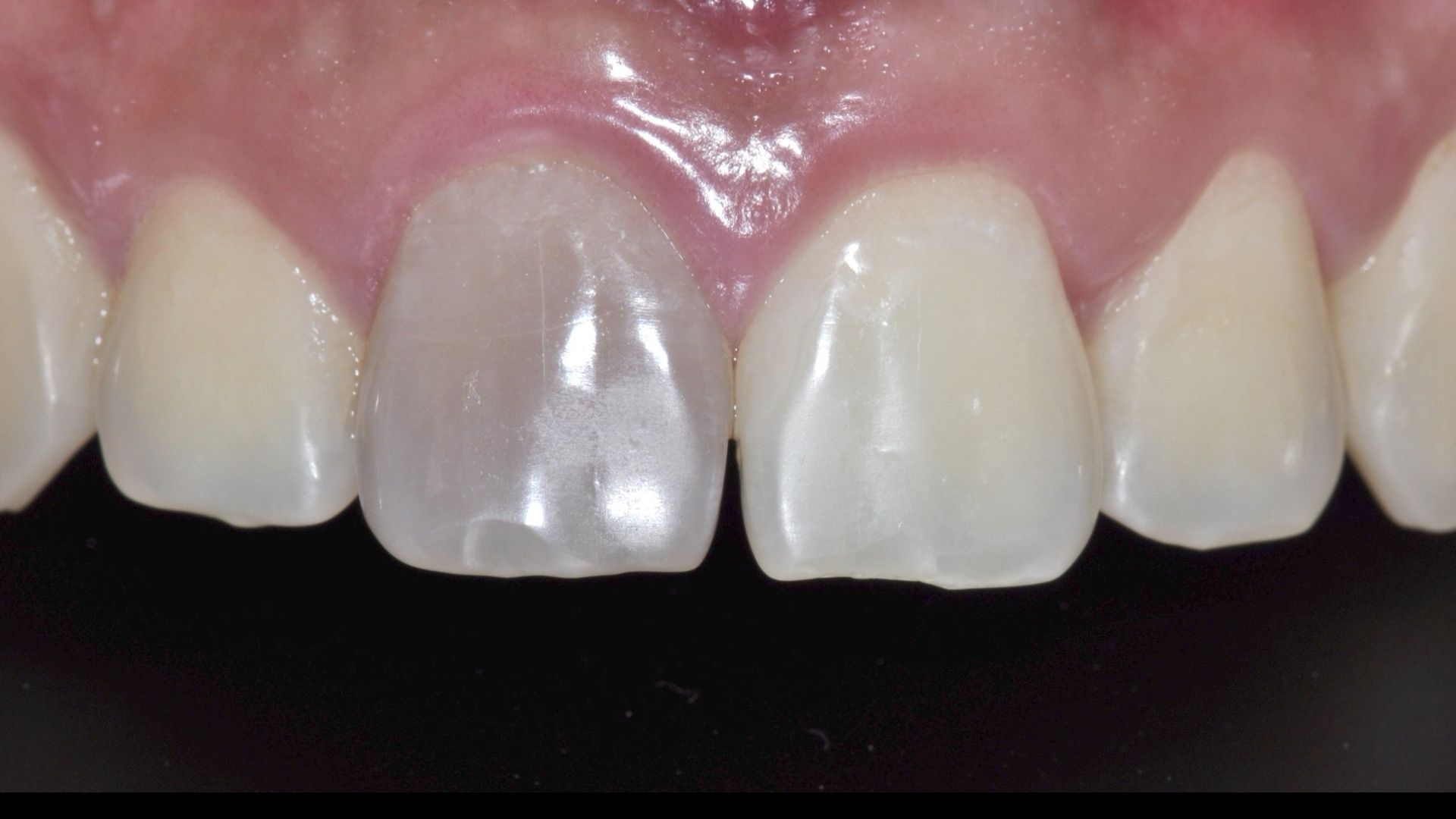
Dans certains cas, une seule dent peut devenir plus foncée que les autres, souvent à la suite d’un traumatisme ou d’un traitement endodontique.
Selon la situation clinique, un blanchiment sélectif peut être réalisé par voie interne ou externe à l’aide de produits à base de peroxydes.
Pour les dents traitées endodontiquement, un protocole de blanchiment interne peut être indiqué. Après mise en place d’une protection étanche au-dessus de l’obturation canalaire afin d’assurer une isolation adéquate, un agent blanchissant à faible concentration est introduit à l’intérieur de la dent. Le principe actif est généralement le peroxyde de carbamide, qui se décompose en peroxyde d’hydrogène et libère des molécules d’oxygène capables de neutraliser les pigments internes et d’éclaircir progressivement la dent de l’intérieur.
Si la dent est toujours vitale ou si la coloration est plus superficielle, un blanchiment externe peut suffire. Des gels professionnels à base de peroxyde d’hydrogène ou de peroxyde de carbamide sont alors appliqués de manière ciblée à l’aide d’une gouttière transparente personnalisée pendant plusieurs semaines.
Dans les deux approches, des concentrations de peroxydes soigneusement contrôlées permettent un éclaircissement progressif tout en préservant la structure dentaire saine.

