26 AVRIL 2026 | 4 min lecture
Revealing a Smile Without Erasing It:
When Dental Alignment Unlocks Natural Beauty
When the Patient Seeks to Reveal Their Smile, Not Transform It
Some patients are not looking to transform their smile. They are looking to reveal it.
This is often the case in young adults who perceive a discrepancy between the image they project and the true aesthetic potential of their smile. The teeth are healthy, the oral status is globally sound, yet certain details limit the overall harmony: mild anterior crowding, a smile that appears somewhat narrow, subtle asymmetries, minor irregularities that catch the eye without the patient always understanding why.

Why Porcelain Veneers Are Not Always the Appropriate Treatment
In this context, many patients conduct their own research. They discover dental veneers, see impressive before-and-after results, and assume this may be the most direct route to an improved smile. However, the mere existence of a treatment option does not make it the appropriate solution for every patient. In a young patient with healthy, minimally restored natural dentition, a veneer-based approach is frequently disproportionate. Even when expertly executed, it entails a level of intervention that is not always clinically justified. Preserving enamel and respecting the integrity of the dental hard tissues must remain a priority whenever possible.
Clear Aligner Therapy as a Conservative Treatment Modality
It is precisely in this type of clinical scenario that orthodontic tooth movement with clear aligners — such as Invisalign — becomes fully meaningful.
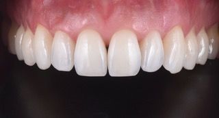
In the case presented here as an example, the objective was not to “construct” an artificial smile, but to maximise the patient’s natural aesthetics based on what was already present. The treatment plan was therefore structured around three well-defined clinical objectives: alignment of the mildly crowded anterior teeth, visual broadening of the smile arch by opening the buccal corridors, and correction of a mild posterior crossbite.
Taken individually, each of these objectives may appear modest. Together, they profoundly alter the perception of the smile. A better-aligned, more proportionate, and functionally improved dentition does not simply appear “straighter.” It appears more natural, more harmonious, and more coherent with the patient’s overall facial composition.
Anticipating the Limitations of Orthodontic Treatment Alone
This is also where a critical and often underestimated consideration arises: a successful aesthetic outcome does not depend solely on tooth movement. It depends on the clinician’s ability to anticipate, from the very outset, what orthodontics can improve — and what it cannot address in isolation.
In this case, several elements were already present prior to the initiation of treatment: minor chipping of the incisal edges and a degree of asymmetry in the incisal geometry. These details may remain visible even after excellent alignment. In other words, repositioning the teeth in an ideal arch form is not always sufficient to achieve a fully harmonious result.

The Importance of an Interdisciplinary Approach
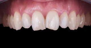
For this reason, the treatment was planned from the outset with an interdisciplinary framework in mind. Orthodontic alignment constituted the foundation of the treatment plan, while it was already anticipated that a minimal restorative intervention at the completion of treatment would be required to finalise the smile, correct residual minor incisal asymmetries, and restore continuity to the incisal edges. This final step was not an improvised “touch-up.” It was an integral part of the overall therapeutic vision.
Herein lies the essential distinction between a fragmented treatment approach and a true interdisciplinary aesthetic plan. In a fragmented approach, techniques are simply added together. In a comprehensive approach, a cohesive treatment pathway is constructed in which each phase sets the stage for the next.

A Patient-Centred Treatment Experience
The patient’s experience is fundamentally transformed by this approach. It is no longer simply a matter of aligning teeth with aligners and then “adding some composite” at the end. It is about accompanying a person in understanding what they are truly seeking. Does the patient want whiter teeth? A broader smile? A more polished appearance? A more natural look? Greater confidence? In many cases, the patient’s initial chief complaint does not yet fully reflect their deeper aesthetic goal. The clinical team’s role is then to translate this intuition into a treatment plan that is clinically sound, realistic, and patient-respectful.
This dimension of the treatment journey is fundamental. A successful aesthetic outcome is not merely a technically correct treatment. It is a treatment in which the patient feels heard, understood, and guided. It is a pathway built collaboratively, where technique serves a clear therapeutic intention.

The Finishing Touch: Harmonisation and Luminosity
In the final treatment phases, professional tooth whitening was also performed using the same aligners worn during orthodontic therapy. This detail is significant. It demonstrates that meaningful aesthetic enhancement does not necessarily require invasive procedures. Sometimes, by repositioning the teeth, harmonising incisal morphology with a highly targeted restorative approach, and restoring luminosity to the smile, an outcome can be achieved that is at once elegant, credible, and profoundly respectful of the patient’s natural dentition.

Reveal Rather Than Replace
This type of clinical case illustrates a philosophy of care to which we are deeply committed: reveal rather than replace, preserve rather than transform, maximise what already exists rather than impose a standardised aesthetic model.
In the young adult patient in particular, this vision carries even greater clinical and ethical weight. Natural teeth possess a biological, optical, and anatomical richness that no prosthetic restoration can fully replicate. Whenever a high-level aesthetic outcome can be achieved while preserving the natural dentition, this approach must be given priority.
The most refined dental aesthetics are not always those that are most conspicuous. They are often those that give the impression that everything has always been exactly as it should be.
And perhaps that is, at its core, the most meaningful definition of a conservative treatment: not changing a smile, but allowing it to finally become fully itself.
