30 MARS 2026 | 3 min lecture
Facettes dentaires: bénéfices, résultats naturels et ce qu'il faut vraiment savoir
Les facettes dentaires occupent aujourd'hui une place importante dans l'esthétique du sourire. Elles sont souvent associées à l'idée d'un changement visible, parfois même spectaculaire. Pourtant, lorsqu'un traitement est bien conduit, l'objectif n'est pas de transformer un visage ni de standardiser un sourire. Il est d'apporter une amélioration juste, en accord avec la personne, son expression et l'équilibre global de son visage.
Qu'est-ce qu'une facette dentaire?
Une facette dentaire est une fine restauration en céramique ou en composite qui se place sur la face visible de la dent. Elle peut être indiquée lorsque certaines dents présentent une usure, une forme peu harmonieuse, une fracture, une coloration résistante aux traitements conventionnels ou encore de petites asymétries. Mais réduire les facettes dentaires à une simple correction esthétique serait une vision trop limitée. Leur véritable intérêt réside dans la possibilité d'améliorer un sourire avec finesse, tout en préservant autant que possible les tissus dentaires lorsque la situation clinique le permet.

Ce qui détermine la qualité d'un résultat naturel
Ce qui fait la qualité d'un résultat avec des
facettes dentaires, ce n'est pas uniquement la couleur des dents. C'est avant tout la cohérence. Un sourire naturel ne dépend pas d'une blancheur excessive ni d'une géométrie parfaite. Il repose sur des proportions équilibrées, une certaine douceur dans les formes, une bonne intégration de la lumière, et surtout une harmonie avec le visage. Lorsqu'un traitement est bien pensé, il ne capte pas l'attention par excès. Il donne simplement l'impression que tout est à sa place.
C'est précisément pour cette raison que les facettes dentaires ne devraient jamais être envisagées comme une réponse systématique. Chaque indication doit être posée avec discernement. Avant tout traitement, une analyse attentive est nécessaire afin d'évaluer l'état des dents, la qualité de l'émail, la fonction, l'occlusion, la dynamique du sourire et les attentes réelles du patient. Dans certains cas, les facettes dentaires constituent une solution particulièrement élégante et conservatrice. Dans d'autres, une approche différente peut être plus appropriée.
Un exemple clinique:
restaurer un sourire sans le dènaturer
Cette approche prend tout son sens dans les situations où le sourire a progressivement perdu son harmonie, non seulement à cause de l'usure, mais aussi à travers l'accumulation de restaurations anciennes qui ne correspondent plus aux attentes esthétiques du patient.
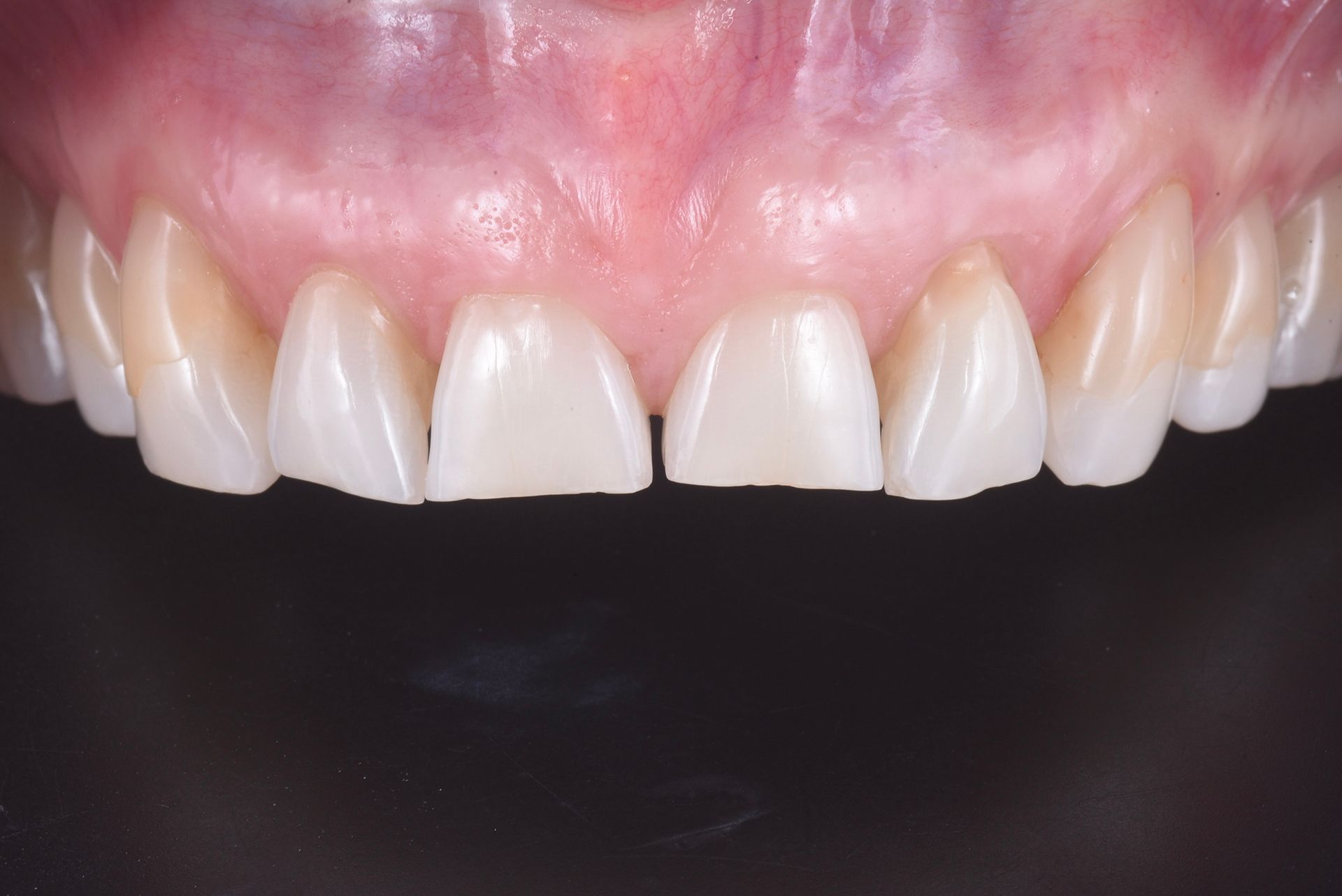
Dans le cas présenté ici, la patiente présentait une usure des dents antérieures associée à d'anciennes restaurations en composite devenues inadaptées. Au-delà de leur intégration imparfaite, ces restaurations montraient une polychromie marquée et un aspect hétérogène qui perturbaient la lecture globale du sourire. La demande n'était pas celle d'un changement excessif, mais celle d'un résultat plus juste, plus cohérent et plus élégant.

L'analyse initiale ne s'est donc pas limitée à la couleur ou à la forme des dents. Elle a porté sur l'ensemble du sourire, sur les proportions visibles, ainsi que sur la relation entre esthétique et fonction. C'est précisément dans ce type de situation que les facettes dentaires en céramique peuvent représenter une solution particulièrement pertinente, à condition qu'elles soient intégrées dans une réflexion globale et non envisagées comme une simple correction cosmétique.
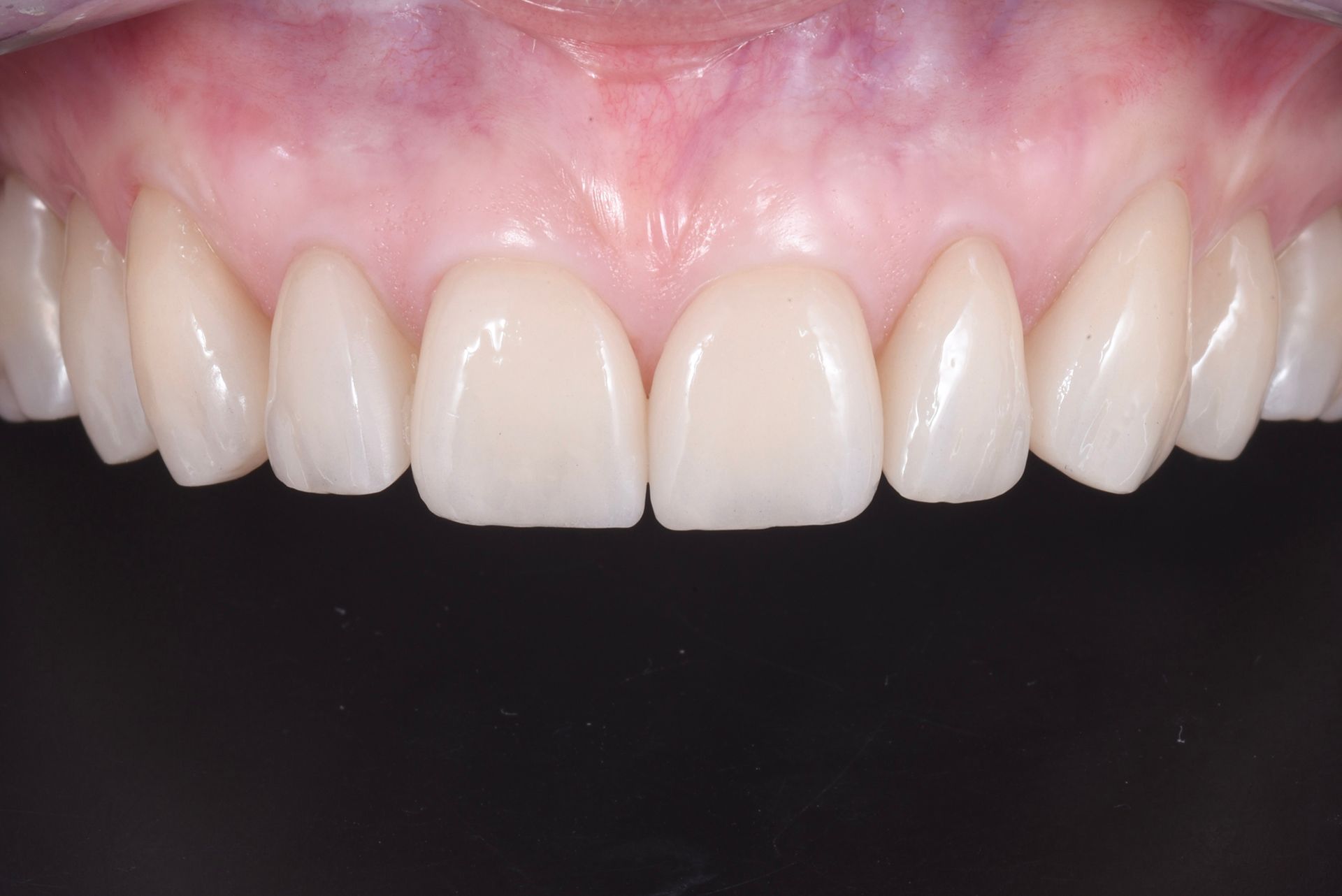
Le projet esthétique, qui prévoyait huit facettes dentaires de la première prémolaire supérieure droite à celle de gauche, a été pensé pour restituer de la lumière, de la subtilité et une lecture plus harmonieuse du secteur antérieur. En esthétique dentaire, la qualité d'un résultat se joue souvent dans des détails qui paraissent discrets, mais qui changent profondément la perception d'ensemble.
Le protocole clinique: rigueur et fiabilité dans la durée
La réussite d'un traitement par facettes dentaires ne repose pas uniquement sur la beauté des restaurations. Elle dépend tout autant de la rigueur avec laquelle elles sont mises en œuvre. La phase de collage adhésif a été réalisée selon un protocole strict, sous digue en caoutchouc, afin de garantir un contrôle optimal du champ opératoire et de préserver la qualité du résultat dans le temps. Cette exigence technique joue un rôle essentiel dans la fiabilité à long terme du traitement.
La qualité du collage est un facteur déterminant dans la longévité des restaurations céramiques. Un protocole rigoureux garantit non seulement l'adhérence mécanique, mais aussi l'intégrité biologique des tissus gingivaux.
L'intégration: le véritable critère d'un beau sourire
Le résultat final ne se lit pas uniquement dans le détail des restaurations, aussi soigné soit-il. Il se lit surtout dans leur intégration. De près, les facettes dentaires doivent exprimer finesse, texture, légèreté. Elles doivent restaurer la lumière sans excès, corriger sans durcir, embellir sans dénaturer.
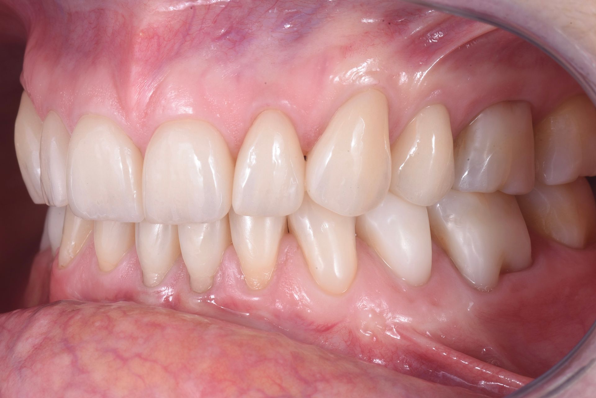
Mais un traitement esthétique ne peut jamais être jugé uniquement sur une vue rapprochée. Il doit aussi être lu dans son ensemble, à l'échelle de l'arcade, de la fonction et de la relation entre les dents. C'est cette vision globale qui permet de rechercher un résultat à la fois beau, fonctionnel et durable. Pour en savoir plus sur l'approche clinique adoptée, vous pouvez consulter notre page dédiée aux soins esthétiques de Geneva Smile Center, un cabinet spécialisé dans les traitements de dentisterie esthétique minimalement invasives.
Lorsqu'un traitement est bien pensé, il ne s'impose pas au regard. Il redonne simplement au sourire une forme d'évidence, d'équilibre et de cohérence. C'est dans cette capacité à s'intégrer naturellement à la personne que réside, au fond, la véritable qualité du résultat avec des facettes dentaires.
Facettes dentaires:
une esthétique naturelle, pensée dans la durée
Lorsqu'elles sont indiquées avec rigueur et réalisées avec précision, les facettes dentaires peuvent offrir des résultats très satisfaisants, à la fois esthétiques, fonctionnels et durables. Leur réussite ne repose pas sur une promesse de perfection, mais sur la qualité du diagnostic, la maîtrise clinique, le respect des tissus et la capacité à rechercher un résultat crédible dans le temps.
Au fond, la question n'est pas de savoir si les facettes dentaires permettent d'avoir un beau sourire. La vraie question est de savoir si elles représentent, pour ce patient précis, la solution la plus cohérente. Car en esthétique dentaire, le plus beau résultat n'est pas toujours celui qui se voit le plus. C'est souvent celui qui paraît évident, naturel, et profondément adapté à la personne qui le porte.
